SHIMADZU
Clinical Image Gallery
Top
Contact Us
Top Page
Head Images
Breast Images
About The System
Contact Us
Other Medical Systems (English)
Other Medical Systems (Japanese)
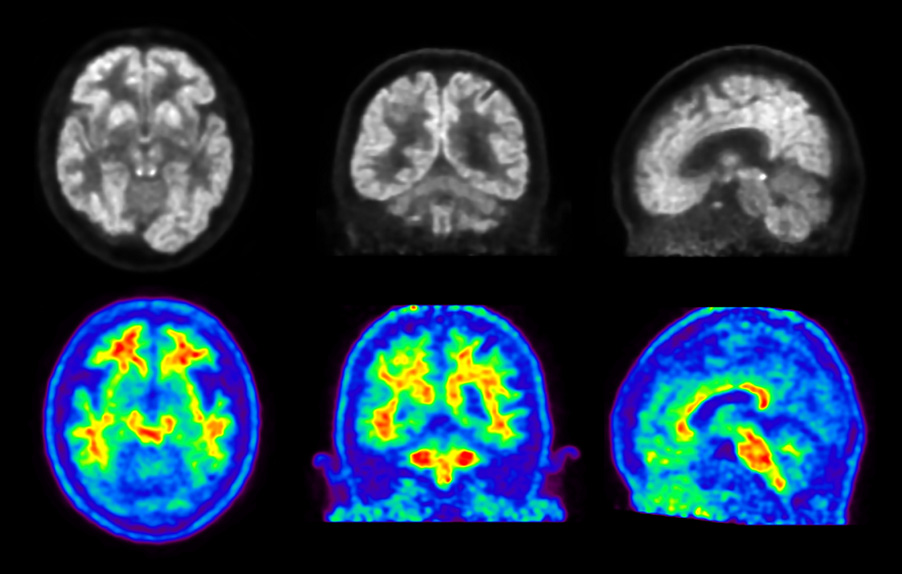
Head / Case6 : FDG and Amyloid
十
close
Back
Back to Top Page
Courtesy :
Kindai University Hospital
Imaging protocol
Injected dose
: 3.46 MBq/kg, 18F-FDG
Uptake time
: 68 minutes
Scan time
: 30 minutes
Contact Us