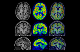
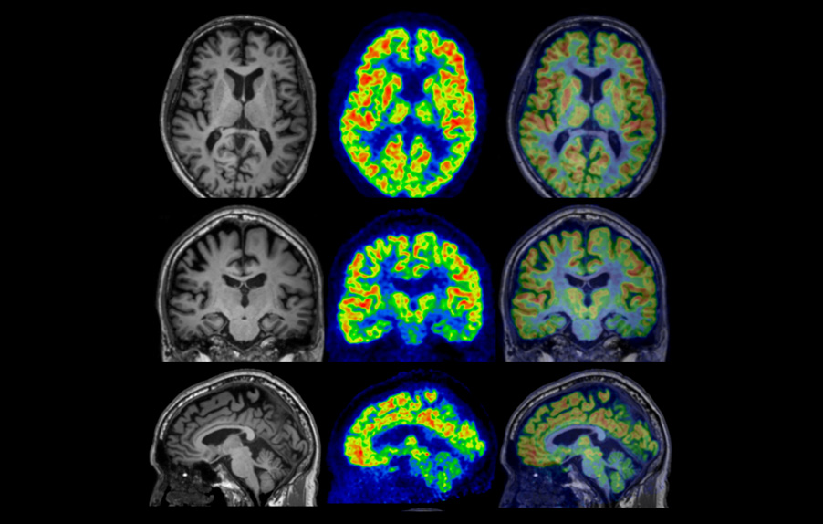
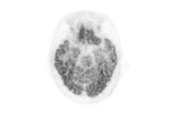
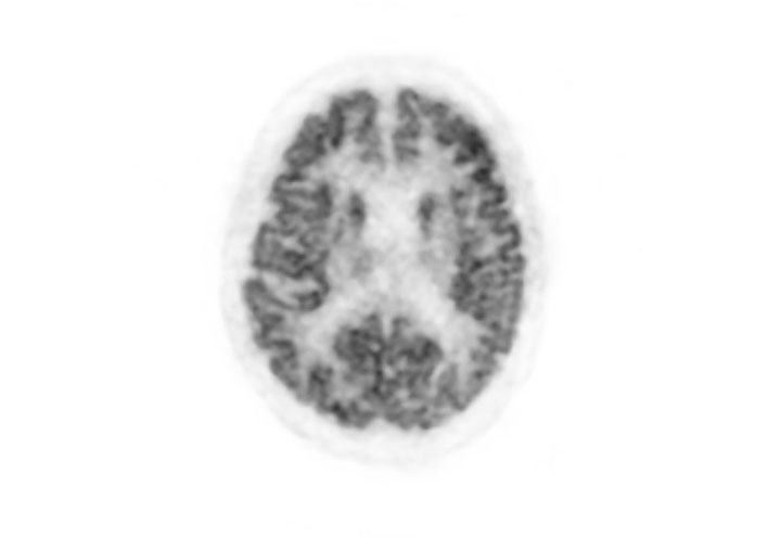
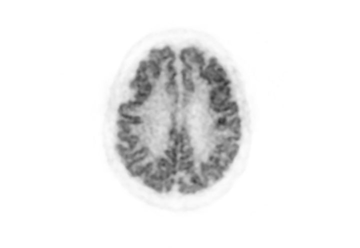
Head / Case1 : FDG
Slide
-

十
Axial
-

十
Coronal
-

十
Sagittal
-

十
Fusion image of PET and MRI
-

Axial
-

Coronal
-

Sagittal
-

Fusion image of PET and MRI
close
Courtesy : Kindai University Hospital
- Imaging protocol
- Injected dose: 2.87 MBq/kg, 18F-FDG
- Uptake time: 42 minutes
- Scan time: 30 minutes



