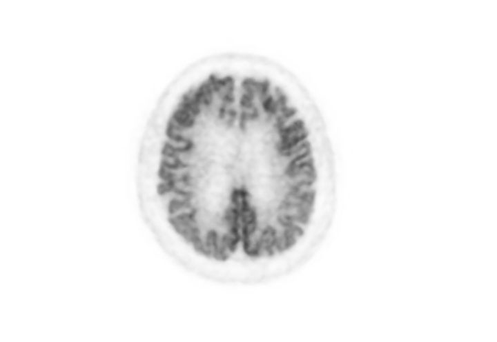
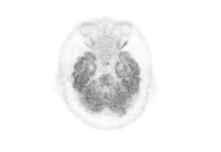
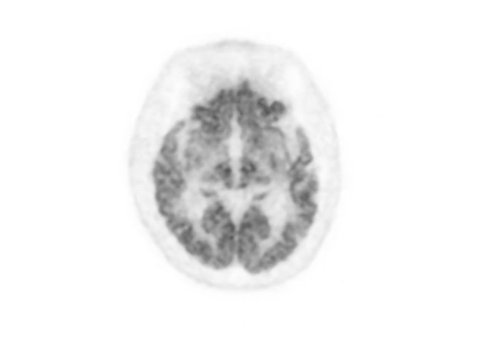
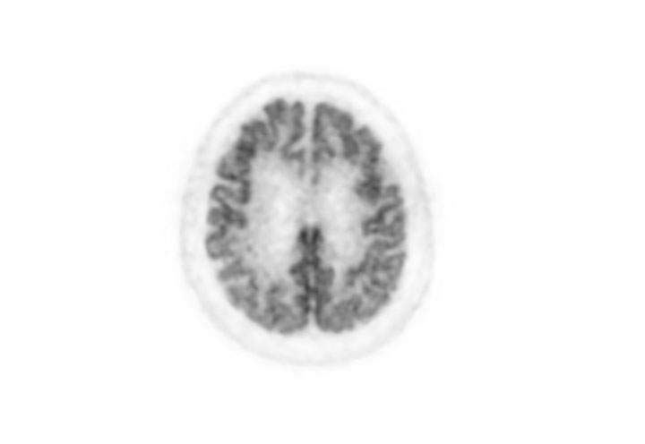
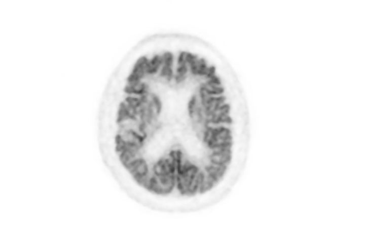
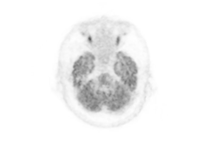
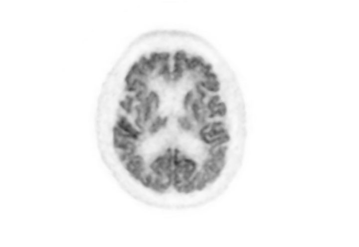
Head / Case2 : FDG
Slide
-

十
Axial
-

十
Coronal
-

十
Sagittal
-

Axial
-

Coronal
-

Sagittal
close
Courtesy : Kindai University Hospital
- Imaging protocol
- Injected dose: 3.29 MBq/kg, 18F-FDG
- Uptake time: 38 minutes
- Scan time: 30 minutes



