Mobile C-arm imaging systemSC15 / OPESCOPE ACTENO FD15
Brand new C-arm with Versatility and Exceptional operability

Features
Intuitive and comfortable operability
In crowded procedure rooms, the SC15 / OPESCOPE ACTENO FD15 provides a comfortable environment and facilitates efficient communication.
Achieve smooth procedures by the 43” wide monitor
The 43” wide monitor realizes seamless procedures and facilitates communication by clear and wide fluoroscopic images.


Low dose × High image quality
This system minimizes radiation exposure while providing high-quality images.
Wider field of view FPD
FPD’s distortion-free wide images enhance diagnostic accuracy and reduce procedure time.

High image quality for stress-free procedures
Edge enhancement
Improving procedural accuracy by enhancing the edges of bones, devices, and blood vessels without increasing radiation dose.
Original image
Low Enhancement image
High Enhancement image
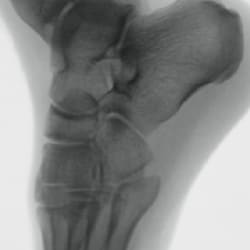
Metal correction
Minimizing halation for clear visualization in orthopedic procedures with bolts and implants.
No metal correction
metal correction
Effective dose reduction
Auto collimation
Preventing unnecessary X-ray exposure by automatically focusing on the area of interest and collimating the surrounding areas.
Virtual collimation
Virtual collimation allows for adjusting your desired field of view without X-ray exposure.
Versatile examination with a single unit
The SC15 / OPESCOPE ACTENO FD15 supports a variety of examinations with one unit. The C-arm is equipped with a high-capacity X-ray tube. It can be used for examinations that require long duration fluoroscopy.
Lumber spine examination
Barium Swallowing examination
Taking advantage of the C-arm, it is easy to perform modified barium swallow study.
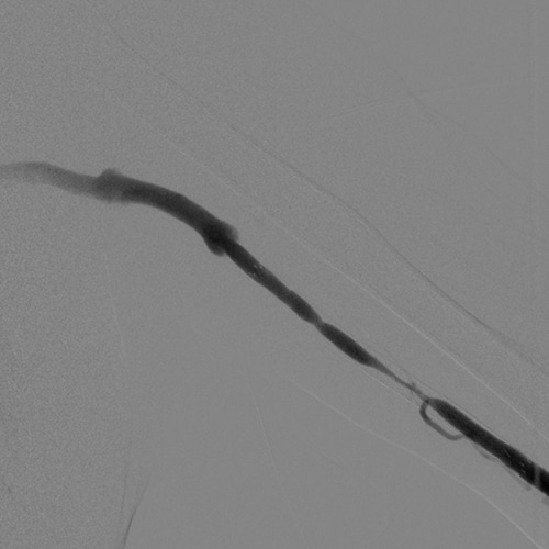
DSA
The DSA and roadmap functions make it suitable for intravascular procedures.
Support functions for the smooth procedures
The SC15 / OPESCOPE ACTENO FD15 provides a stress-free environment for performing procedures.
Short startup
Short startup time allows for minimizing downtime during unexpected incidents and supports emergency examinations.
Glass zoom function
Allowing for magnification of the specific area on the image for better visibility.








