Aging & Dementia / Geriatrics

In order to contribute to healthy longevity, we support bone health with X-ray imaging technologies and applications that we have cultivated over the years. Various research on dementia is progressing worldwide, but no fundamental cure has yet been found. Shimadzu is working to provide new solutions using our analytical, measuring, and medical imaging technologies throughout the healthcare cycle, from ultra-early detection to diagnosis, treatment, and follow-up.

*1: For Research Use Only. Not for use in diagnostic procedures.
*2: This technology/measure is still currently in research and development. For research use only. Not for use in diagnostic procedures.
*3: The availability of this product is limited in Japan only, as of April 2022.
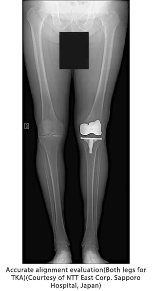
Clinical Use
Tomographic imaging
As the population ages, bone and bone-related diseases increase, and implant treatment is also significantly. Tomosynthesis, the digital multiple tomographic imaging technology, enhances examination and diagnosis and adds excellent clinical value.
Clinical Use
Long view imaging
This application enables simple operation, large imaging area, and easy-to-interpret images. It is available with Shimadzu R/F system and general radiography systems and provides efficient examination and accurate diagnosis.
Clinical Use
Fluoroscopy
In diagnosing and treating aspiration due to aging or disease, barium swallow studies are performed to investigate the cause and consider countermeasures. Shimadzu R/F systems provide enough examination space even for a patient in a wheelchair. Moreover, the entire system is designed based on the dose care concept for both patients' and healthcare workers' safety. (Available functions depend on the system, etc.)
Fluoroscopy systems
Multi-purpose R/F System -
FLEXAVISION F4 package
Clinical Use
PET scan for Head & Breast
This “PositView (SET-5002)” is the world’s first TOF-PET system specialized for head and breast examinations, scanning brain tumors, epilepsy, and breast cancers with remarkable accuracy, and even supporting Alzheimer’s and other dementia researches.
TOF-PET Scanner for Head & Breast
PositView (SET-5002)
* This product is commercially available only in Japan due to regulatory reasons, etc. To confirm these details, please contact us.

Technology
Measurement of amyloid β in blood
Amyloid MS is a new blood analysis method developed by Shimadzu Corporation and the National Center for Geriatrics and Gerontology (NCGG) to predict early-stage Alzheimer’s disease. This technology presents the biomarker level related to amyloid β, a protein that is thought to be the cause of Alzheimer’s dementia, from a few drops of blood (about 0.5 mL).
Technology
Alzheimer’s drug discovery support
The realization of a minimally invasive test using a few drops of blood (about 0.6 mL) is expected to detect early Alzheimer's disease and greatly contribute to the development of new drugs for treatment and prevention. Shimadzu is collaborating with the National Center for Geriatrics and Gerontology to develop blood biomarkers for detecting Alzheimer’s disease lesions using IP-MS method, an analytical technique that combines immunoprecipitation (IP), which achieves selective separation based on an antigen-antibody reaction, and mass spectrometry (MS).
*This technology/measure is still currently in research and development. For research use only. Not for use in diagnostic procedures.

Technology
Brain-function imaging using fNIRS
By using Functional Near-Infrared Spectroscopy (fNIRS), brain activities such as cognitive function can be measured in an environment closest to daily conditions.
Brain-Function Imaging
* This technology/measure is still currently in research and development. For research use only. Not for use in diagnostic procedures.




