Slot Radiography
SLOT Advance(Slot Radiography option enhanced for SONIALVISION G4) provides images with long fields of view, such as for full spine or full leg images, just by a very simple workflow, while also offering high accuracy images with minimal X-ray dose.
SLOT Advance acquires a series of only accurate images of a few centimeters central slit as the imaging chain successively moves along the patient.
Providing super high accuracy measurements
SLOT Advance collimates the X-ray beam, so that it only exposes a narrow central slit field without distortion caused by oblique rays. These central slit images are captured using the SONIALVISION's super-high resolution Flat Panel Detector (FPD) by moving it in parallel with the X-ray tube. These successive images are then automatically reconstructed to create one long image in SONIALVISION G4's digital imaging unit (DR-300).
Therefore, this enables very high accuracy measurements without distortion, even with a very simple workflow.
Slot Radiography

Accurate measurements
CR stitching

Extra-wide Imagining Range
The combination of SONIALVISION G4's extra-long imaging chain slide coverage and 17” large FPD realizes even wider imaging coverage (Max.145cm × 42cm) than that of CR's image stitching.

Significant reduction of examination time
Simply set the starting and ending positions, then start the exposure.That's all it takes to obtain proper long view images using our Slot Radiography. All the post-processing required to connect, adjust, and display the images on the monitor is done automatically immediately after exposure.
SLOT Advance by a SONIALVISION system eliminates the time-consuming steps of setting up the cassette and making adjustments, not to mention moving the patient between standing and horizontal positions, which are all required by conventional CR long-length imaging.
Wide imaging range to cover from cervical spine to lumbar spine
(Courtesy of Tottori University Hospital, Japan)
Accurate alignment evaluation
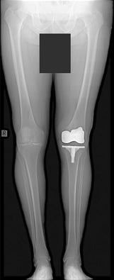
(Both legs for TKA)
(Courtesy of NTT East Corp. Sapporo Hospital, Japan)
Department of Radiology, Sendai Nishitaga Hospital
Takeuchi Rheumatism Orthopedic Surgery Clinic
Spine Center, Chiba Central Medical Center
Department of Orthopaedic Surgery, Tokyo Medical University Hospital



